Blog
Après préparation de gouttières ajustées à sa dentition, le patient utilise chez lui un gel actif de blanchiment qu'il injecte dans cette gouttière
L'utilisation de brossettes interdentaires permet un nettoyage approfondi des espaces situés entre les dents et peut éviter une récidive de parodontite
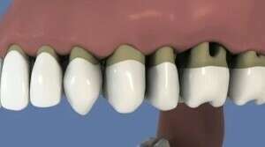
Prothèse définitive, sans fausse gencive, scellée ou vissée sur des implants posés au prélable
Affichage des articles 1-6 sur 100
Découvrez notre collection de fiches pédagogiques




